

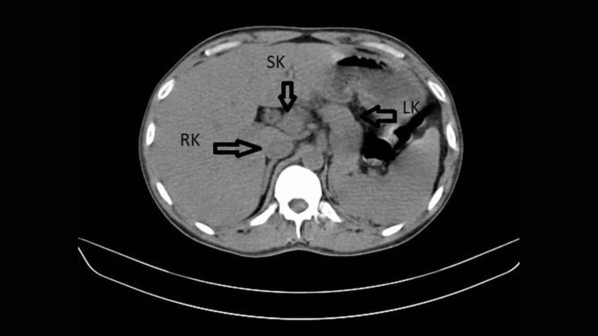
A 31-year-old man in India went to the doctor with a urinary tract infection and left with an astonishing discovery: he'd been living his entire life with an extra kidney.

Modern medical imaging revealed what his body had been hiding in plain sight for three decades.

Want to know more?