

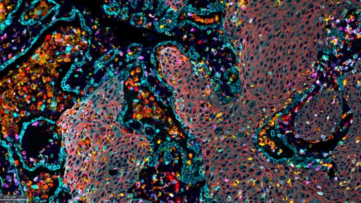
A breakthrough drug from Revolution Medicines is giving real hope to pancreatic cancer patients for the first time in decades.

The pill, called daraxonrasib, successfully targeted KRAS, a protein scientists once thought was impossible to drug.

Want to know more?