
MIT Creates AI That Spots Brain Damage Doctors Couldn't See
Scientists at MIT have developed free software that can finally see the brain's most vital control center, opening new ways to detect and track recovery from Parkinson's, MS, and traumatic brain injury. The tool has already helped doctors watch a coma patient's seven-month journey back to consciousness.
For the first time, doctors can now see inside the brain's most important command center with enough detail to track healing and catch disease early.
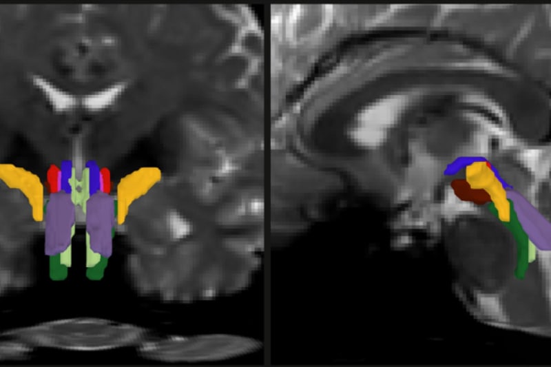
MIT graduate student Mark Olchanyi has created software that does what medical imaging couldn't do before: clearly identify eight distinct nerve bundles in the brainstem. This thumbnail-sized region controls everything from breathing and heartbeat to consciousness itself, but until now it's been nearly impossible to see what's happening inside when something goes wrong.
The brainstem's nerve bundles are so small and surrounded by so much movement from breathing, heartbeats, and flowing brain fluid that standard MRI scans couldn't separate one bundle from another. Doctors treating stroke, Parkinson's, MS, or brain injuries were flying blind in one of the body's most critical areas.
Olchanyi's solution combines artificial intelligence with existing MRI technology. The BrainStem Bundle Tool (BSBT) traces nerve fibers from nearby brain regions down into the brainstem, then uses a neural network to distinguish individual bundles. He trained it on 30 brain scans and validated it against actual dissections of donated brains.
The real test came when the team scanned 40 volunteers twice, two months apart. BSBT found the exact same bundles in the same locations both times, proving it works consistently.

The Ripple Effect
The tool is already making a difference. When researchers tested BSBT on patients with Parkinson's disease, multiple sclerosis, and traumatic brain injury, it revealed distinct structural changes in different bundles for each condition. These patterns could become early warning signs that help doctors intervene sooner.
Most remarkably, the team used BSBT to look back at scans from a coma patient taken during recovery. The software showed specific bundles healing over seven months in a pattern that matched the patient's gradual return to consciousness. Doctors had never been able to watch this kind of recovery happen in real time before.
The researchers published their work in the Proceedings of the National Academy Sciences and made BSBT free for anyone to use. Any hospital with a standard diffusion MRI machine can now run the software.
Professor Emery Brown, who supervised the research at MIT's Picower Institute, says the tool gives medicine "new access to vital physiological functions" like respiratory and cardiovascular control, temperature regulation, and the sleep-wake cycle.
For patients with brainstem injuries or diseases, this means doctors can finally measure whether treatments are working by watching the affected bundles over time. What was once invisible is now something that can be tracked, understood, and hopefully healed.
Based on reporting by MIT News
This story was written by BrightWire based on verified news reports.
Spread the positivity! π
Share this good news with someone who needs it


