
Modern Hip Replacements Last 25+ Years, Study Finds
New research shows 92% of modern hip replacements now last at least 25 years, nearly double the success rate of older implants. This breakthrough means millions of younger patients can regain mobility without worrying about multiple replacement surgeries.
Imagine getting a hip replacement at 50 and never needing another one for the rest of your life. That future just became far more realistic for millions of people worldwide.
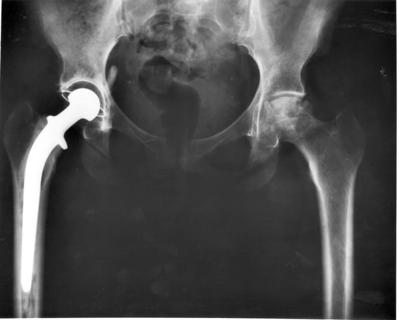
A groundbreaking study published in The Lancet reveals that modern hip replacements are lasting nearly twice as long as their predecessors. Researchers analyzed data from 1.9 million hip replacements across eight national registries and found that 92% of today's implants remain functional for at least 25 years.
The improvement is stunning. Older hip replacement technologies from previous decades had only a 58% success rate at the 25-year mark. Many patients faced the prospect of revision surgery, especially those who received implants while still relatively young.
The secret lies in better materials. Over the past two decades, advances in the materials used for hip replacements have dramatically reduced wear and tear. These modern implants don't just last longer at 25 years; the research suggests 93% could still be working after 20 years, and 91% might make it to 30 years.

For the millions of people living with hip pain, this news changes everything. Hip replacements help people regain mobility and drastically improve quality of life. As more young patients undergo the procedure and people live longer overall, knowing these implants can go the distance matters more than ever.
The Ripple Effect spreads far beyond individual patients. Hospitals and health services could see fewer people needing repeat operations, freeing up specialist teams to focus on complex cases. That means more people can access their first hip replacement without long waits.
Doctors can now set clearer expectations when discussing surgery options with patients. While individual outcomes still depend on factors like age, overall health, bone quality, and surgical technique, the overall picture has never looked brighter.
The research team notes these results reflect population-level trends rather than individual guarantees. But for someone weighing whether to get a hip replacement at a younger age, the math has fundamentally changed.
This study represents one of the largest analyses of hip replacement longevity ever conducted, giving both patients and medical professionals solid data to guide life-changing decisions. For healthcare systems worldwide, it's a roadmap for better planning and resource allocation in orthopedic care.
The future of joint replacement surgery keeps getting brighter, one breakthrough at a time.
More Images




Based on reporting by Medical Xpress
This story was written by BrightWire based on verified news reports.
Spread the positivity! π
Share this good news with someone who needs it


