
New Brain Treatment Boosts Memory in Alzheimer's Mice
Scientists in China discovered a new way to clear toxic proteins from the brain by targeting a lung receptor, improving memory and learning in mice with Alzheimer's disease. The approach tackles multiple causes of the disease at once, offering fresh hope beyond existing treatments.
Scientists just found a promising new way to fight Alzheimer's disease by helping the brain take out its own trash.
Researchers at Guangzhou Medical University in China discovered that blocking a specific receptor called DDR2 both reduces the production of harmful proteins and boosts the brain's natural cleaning system. In mice with Alzheimer's, this dual action improved memory and learning while clearing out toxic protein clumps.
The breakthrough came from an unexpected place. Team member Jin Su was studying DDR2 for lung disease when they noticed something interesting: healthy brains barely have any DDR2, but brains affected by Alzheimer's are loaded with it.
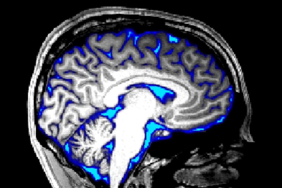
The researchers confirmed they're the first to find DDR2 in high amounts in Alzheimer's brain tissue. They discovered it shows up in three types of cells that are crucial to brain health and waste removal.
This matters because current Alzheimer's drugs can remove protein clumps, but they haven't led to major improvements in symptoms. Scientists are now focusing on the glymphatic system, the brain's waste disposal network that clears out harmful buildup.

The research team developed an antibody treatment that targets and eliminates DDR2 receptors. When they gave it to mice with Alzheimer's, brain scans showed fewer harmful plaques and a stronger waste clearing system.
Shiju Gu at Harvard University called the mouse results "fairly impressive within the limits of a mouse model." He noted that targeting DDR2 could influence multiple aspects of Alzheimer's at once, though he cautioned against assuming it will reverse the disease entirely.
The Bright Side
What makes this approach exciting is that it works on several fronts simultaneously. Unlike treatments that only remove protein clumps, this method both reduces their production and strengthens the brain's ability to clear them out naturally.
The treatment also addresses a key problem in Alzheimer's: blocked oxygen supply to brain cells. By preventing too much structural protein from building up, it could help preserve the thinking and memory functions that the disease steals away.
Some scientists noted the mice had a rare inherited form of Alzheimer's, raising questions about whether the antibody would work as well for the more common late onset type. But the researchers point out that DDR2 levels increase in both types of Alzheimer's, plus during normal aging.
The team is already moving forward with a clinical trial to monitor DDR2 levels in people with Alzheimer's. They're also developing a smaller antibody that can cross the blood brain barrier more easily.
This research adds to growing momentum around helping the brain help itself, rather than just attacking symptoms.
More Images




Based on reporting by New Scientist
This story was written by BrightWire based on verified news reports.
Spread the positivity!
Share this good news with someone who needs it

