
Oral Drug Shows Promise Against Deadly Brain Tumors
A national trial found that an existing cancer pill may slow aggressive brain tumors in patients who had run out of options. Nearly 60% of patients saw their tumors stop growing for at least six months.
Patients facing one of the deadliest forms of brain cancer just got their first real glimmer of hope in years.
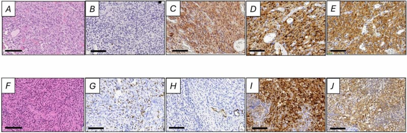
A national clinical trial has found that abemaciclib, a pill already used to treat breast cancer, may slow tumor growth in patients with aggressive meningiomas. These brain tumors grow in the membranes surrounding the brain and spinal cord, and while most are treatable, some forms are almost always fatal.
The Alliance for Clinical Trials in Oncology enrolled 24 patients whose high-grade meningiomas had returned or kept growing after surgery and radiation therapy. All carried specific genetic mutations that made their tumors particularly dangerous. Before this trial, these patients had virtually no treatment options left.
Researchers gave patients abemaciclib, a drug that targets the same genetic pathways fueling their tumors. The results surprised even the scientists running the trial. Among patients with the most aggressive tumors, 58% saw their cancer stop progressing for at least six months after starting treatment.
That might not sound like much, but it's a dramatic improvement. Previous studies of experimental treatments for these same tumors found that only zero to 29% of patients experienced any benefit within six months. The median time before tumors started growing again was 10 months, and patients lived a median of 29 months overall.

Dr. Priscilla Brastianos, a neuro-oncologist with Mass General Brigham Cancer Institute who led the study, emphasized the breakthrough nature of this approach. This was the first national trial to select brain tumor patients based on genetic testing rather than just tumor type. The research proved that matching treatments to a patient's specific mutations can actually work for meningiomas.
Side effects were manageable and similar to what breast cancer patients taking the same drug experience. Common issues included diarrhea, fatigue, headaches, and nausea. About a quarter of patients had severe side effects, but most tolerated the treatment well enough to continue.
Why This Inspires
This trial represents a fundamental shift in how doctors might treat brain tumors. Instead of a one-size-fits-all approach, researchers matched an existing drug to patients whose tumors had the right genetic profile. The fact that the drug is already approved means patients could potentially access it sooner than a brand-new medication.
For families who've watched loved ones exhaust every option against aggressive meningiomas, this study offers something precious: time and hope. While researchers acknowledge they still have work to do, they've proven that targeted therapy can make a difference for patients who previously had nowhere left to turn.
The research opens doors for similar genomically driven trials in other understudied brain cancers.
More Images




Based on reporting by Medical Xpress
This story was written by BrightWire based on verified news reports.
Spread the positivity! π
Share this good news with someone who needs it


