
Scientists Find New Way to Stop Lung Cancer Spreading
Researchers in Sweden discovered why lung cancer spreads faster in older patients and found a promising way to stop it. The breakthrough could lead to more effective, personalized treatments for the patients who need them most.
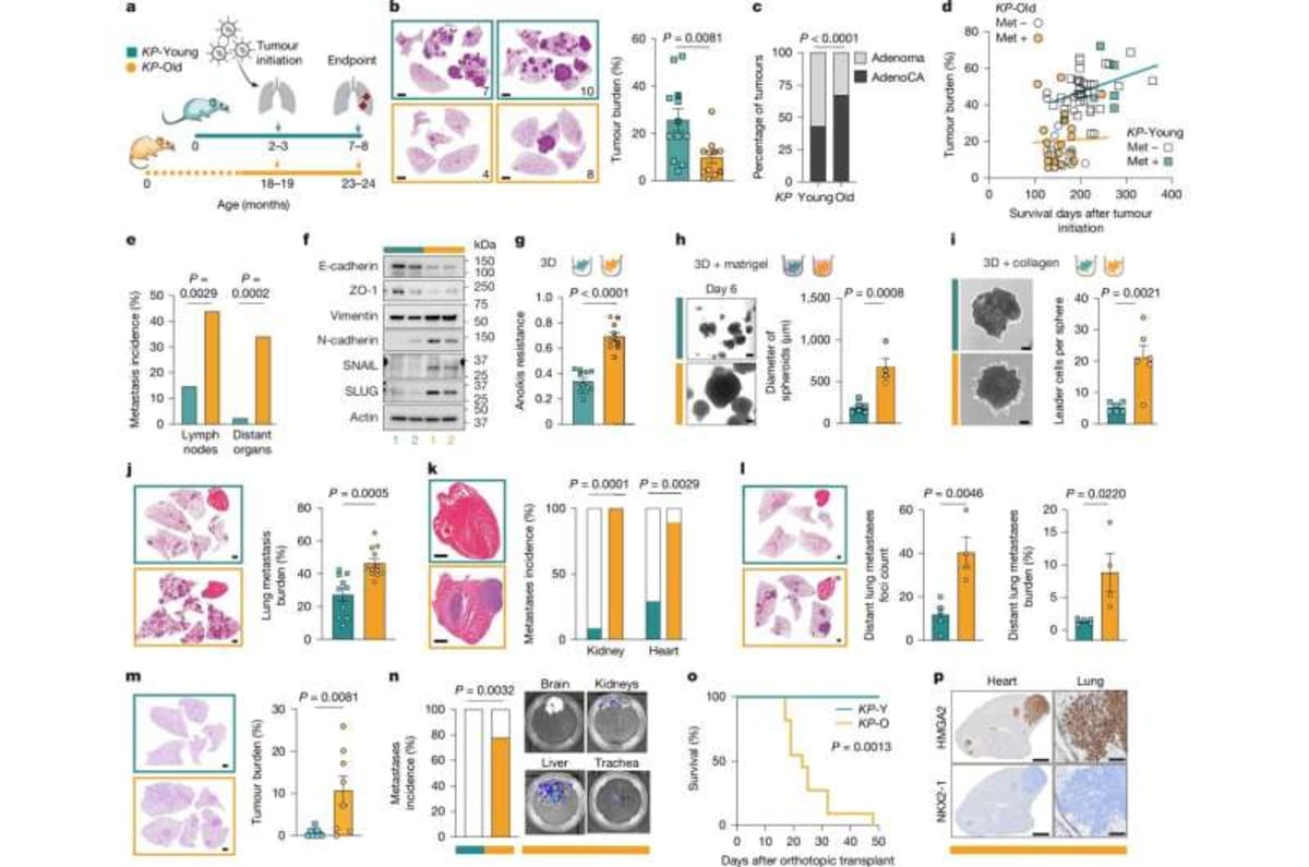
Scientists at the University of Gothenburg just solved a puzzle that has confused doctors for years: why older patients sometimes have small, slow-growing lung tumors that have already spread throughout their bodies.
The answer lies in a protein called ATF4. When we age, cancer hijacks this stress-response protein to fuel its spread, even when the main tumor stays small.
The research team studied lung tumors in both young and old mice, then confirmed their findings by analyzing data from nearly 1,000 Swedish lung cancer patients. The pattern was clear. Older patients had smaller primary tumors that grew more slowly, yet their cancer had already traveled to distant organs like the brain, liver, and bones.
"This helps explain a paradox that physicians often observe," says Associate Professor Volkan Sayin, who led the study published in Nature. Older patients might be diagnosed with a tiny tumor that somehow spread far beyond the lung.
The culprit is ATF4, a protein that normally protects our cells during stress. In older patients, tumors commandeer this protective system and use it to reprogram their metabolism. The result isn't faster growth but something more dangerous: cancer cells that can break away and form new tumors elsewhere.

Patients with high ATF4 levels faced worse outcomes. They had higher recurrence rates after surgery and lower survival rates overall.
Why This Inspires
The discovery opens a clear path forward. When the researchers blocked ATF4 in older mice, they dramatically reduced tumor spread. This explains why previous drug trials targeting similar pathways failed: the treatments weren't aimed at the right patients.
"Our results indicate that these drugs may work significantly better if used more precisely," says Associate Professor Clotilde Wiel. That means targeting older patients whose tumors show high ATF4 activity.
The finding addresses a major gap in cancer research. Most lab studies use young animals, missing how aging fundamentally changes how tumors behave. This matters because lung cancer primarily affects older people, yet standard treatments like chemotherapy work best on rapidly growing tumors, which older patients often don't have.
The team believes cancer research must start reflecting the reality that most patients are older. While age-appropriate studies cost more and take longer, they reveal crucial differences in how disease develops.
This breakthrough offers hope for more precise, effective treatments tailored to the patients who need them most.
More Images




Based on reporting by Medical Xpress
This story was written by BrightWire based on verified news reports.
Spread the positivity!
Share this good news with someone who needs it


