
Scientists Find Protein That Supercharges Calorie-Burning Fat
Researchers discovered how a protein called SLIT3 helps brown fat build the blood vessels and nerves it needs to burn calories effectively. This breakthrough could lead to obesity treatments that increase energy burning instead of just reducing appetite.
Your body contains a special type of fat that actually burns calories instead of storing them, and scientists just figured out how to make it work better.
Researchers at NYU College of Dentistry discovered a protein mechanism that helps brown fat build the infrastructure it needs to transform food into heat. Unlike white fat that stores excess calories, brown fat acts like a metabolic furnace, rapidly burning glucose and lipids to keep you warm.
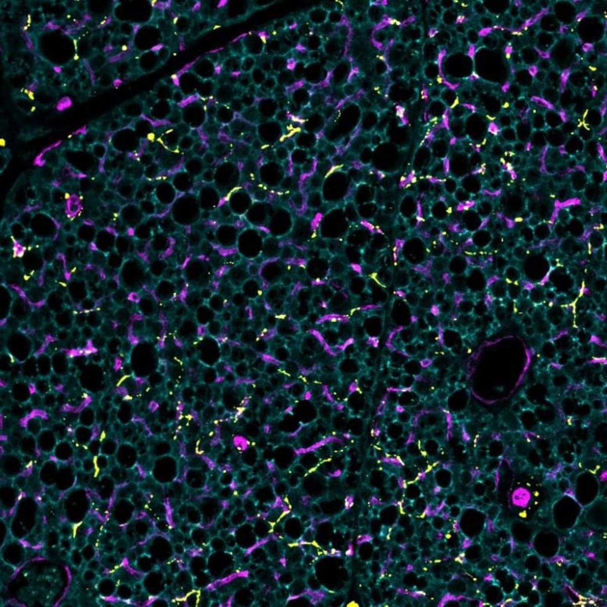
The breakthrough centers on a protein called SLIT3 that brown fat cells release to communicate with each other. When produced, an enzyme called BMP1 splits SLIT3 into two separate fragments, each with its own job. One fragment promotes blood vessel growth, while the other supports nerve development.
"It works as a split signal, which is an elegant evolutionary design," said Farnaz Shamsi, the study's senior author and assistant professor at NYU College of Dentistry. Both components work independently but must coordinate perfectly in space and time.
Those blood vessels and nerves aren't just accessories. They're essential for brown fat to function properly. Nerves connect to your brain, signaling when to activate heat production during cold exposure. Blood vessels deliver the oxygen and nutrients needed to fuel that process, then distribute the warmth throughout your body.

When researchers removed SLIT3 or its nerve receptor PLXNA1 in mice, the animals struggled to maintain body temperature in cold conditions. Their brown fat lacked proper nerve structure and sufficient blood vessel density to do its job.
Why This Inspires
This research opens a completely different path for treating obesity. Most current medications, including popular GLP-1 drugs, work by suppressing appetite and reducing food intake. That approach helps people eat less, but it doesn't change how efficiently their bodies use energy.
Targeting brown fat could flip that script entirely. Instead of focusing on eating less, future treatments might help bodies burn more. The SLIT3 discovery provides several potential targets for developing therapies that boost your natural calorie-burning capacity.
The findings appear relevant to human health too. When researchers analyzed fat tissue samples from over 1,500 people, including those with obesity, they found that SLIT3 gene activity may influence fat tissue health, inflammation, and insulin sensitivity.
"Our research shows that just having brown fat isn't enough," Shamsi explained. "You need the right infrastructure within the tissue for heat production."
The study was published in Nature Communications with support from the National Institutes of Health and multiple research foundations. While practical treatments remain years away, this discovery reveals brown fat's hidden wiring system and how it might be activated to help bodies burn energy more effectively.
More Images




Based on reporting by Google News - Scientists Discover
This story was written by BrightWire based on verified news reports.
Spread the positivity!
Share this good news with someone who needs it

