
Man Treated for UTI Discovers He Has Three Kidneys
A 31-year-old man in India went to the doctor with a urinary tract infection and left with an astonishing discovery: he'd been living his entire life with an extra kidney. Modern medical imaging revealed what his body had been hiding in plain sight for three decades.
When a man from Wardha, India visited his local medical center with a painful UTI and high fever, he expected antibiotics and rest. Instead, doctors gave him the surprise of a lifetime.
The 31-year-old had spent five days battling right-side back pain, a burning sensation during urination, and a fever topping 102 degrees. His symptoms pointed to a straightforward urinary tract infection, which blood tests and urine cultures quickly confirmed.
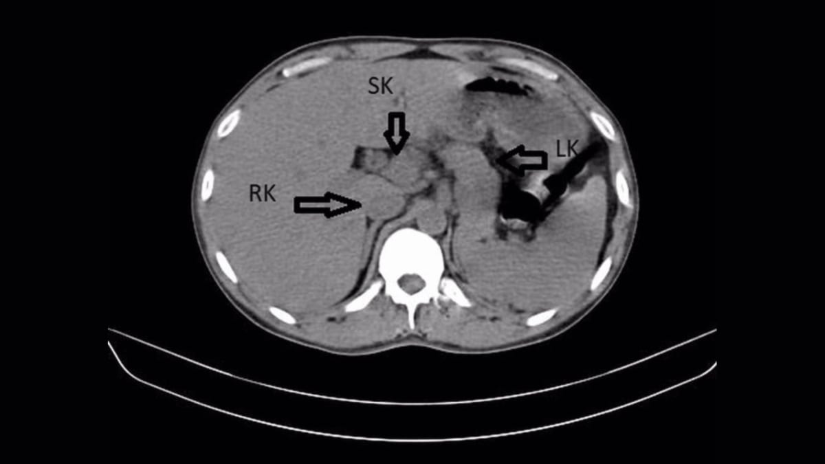
But when doctors performed an ultrasound and CT scan of his abdomen, they spotted something extraordinary. The man had three fully formed kidneys instead of the usual two.
The extra kidney, called a supernumerary kidney, was fused to his right kidney in a horseshoe shape. It had been there since before he was born, quietly doing its job alongside his other two kidneys without causing any noticeable problems.
Supernumerary kidneys are incredibly rare, with fewer than 100 cases reported worldwide each year. They form during fetal development when abnormal cell division occurs in the tissue that eventually becomes kidneys.
The fused horseshoe appearance made this case even more unusual. Only five similar cases exist in scientific literature.

The scans also revealed the real source of the man's pain: mineral crystal buildup in his kidneys and left ureter, the tube connecting his kidney to his bladder. These hard deposits, combined with bacterial infection, had caused his severe symptoms.
Doctors inserted a small plastic tube called a stent to help drain urine from his left kidney. They treated the infection with intravenous antibiotics administered three times daily, along with additional medication every other day.
Within 48 hours, the patient felt dramatically better. He went home with instructions to return in a month for stent removal and follow-up care.
Why This Inspires
This case reminds us how little we sometimes know about our own bodies. The man lived three decades with a hidden biological bonus that never caused him trouble until an unrelated infection brought it to light.
His story also highlights how medical technology continues to reveal the beautiful complexity of human biology. What started as a routine infection became a teachable moment for doctors and a fascinating discovery for one surprised patient.
Most people with supernumerary kidneys never know they have one. The condition often doesn't affect normal kidney function and remains a harmless secret.
The patient's third kidney had been silently supporting his health for 31 years, a hidden helper doing its part without recognition or complaint.
More Images



Based on reporting by Live Science
This story was written by BrightWire based on verified news reports.
Spread the positivity!
Share this good news with someone who needs it


