
Scientists Find Brain Signal That Melts Fat in Mice
Researchers discovered a brain pathway that eliminates body fat in mice without changing their eating habits. This breakthrough could one day help treat both severe weight loss disorders and obesity.
Scientists at Washington University School of Medicine just unlocked a mystery hiding deep inside our bones, and it could change how we understand weight loss forever.
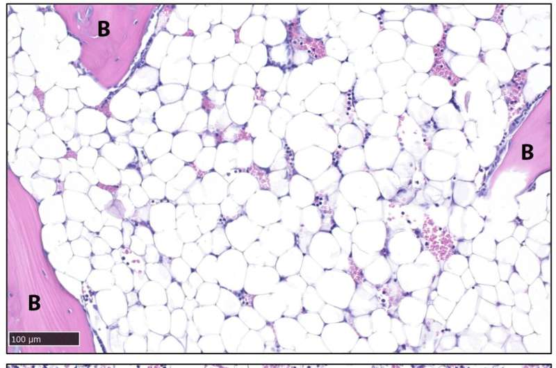
About 70% of our bone marrow is packed with a special type of fat that doesn't respond to diet or exercise. Researchers wondered why these fat cells, called stable adipocytes, were so stubborn.
The team discovered these cells produce high levels of proteins that block fat breakdown. It's like they have their own defense system protecting them from normal weight loss signals.
But here's where it gets exciting. When researchers injected the hormone leptin directly into the brains of mice, something remarkable happened. The treatment unlocked these stubborn fat cells by lowering glucose and insulin levels throughout the body.
The mice lost all their body fat within nine days while eating normally. The brain signal was so powerful it overrode the fat cells' natural defenses completely.

Lead researcher Dr. Erica Scheller, an associate professor at WashU Medicine, emphasizes the pathway is too strong for human use right now. Her team published their findings in the journal Nature Metabolism.
These stable fat cells exist in crucial places like bone marrow, hands, feet, and around important glands. When people with severe wasting disorders lose this fat, they often suffer bone fractures and reduced quality of life.
Why This Inspires
This discovery opens two exciting doors for future medicine. Scheller's team wants to protect stable fat in patients fighting cancer, AIDS, and other wasting conditions where preserving this fat could prevent fractures and maintain health.
On the flip side, understanding how to safely activate fat loss from stubborn cells could help millions struggling with obesity. The key is learning to control this powerful pathway without harmful side effects.
The research started with a simple question about why certain fat wouldn't budge. That curiosity led to discovering a master switch in the brain that controls fat we didn't even know we could access.
Science moves one careful step at a time, but each discovery brings us closer to helping people live healthier lives.
More Images




Based on reporting by Medical Xpress
This story was written by BrightWire based on verified news reports.
Spread the positivity!
Share this good news with someone who needs it


